Una exitosa versión del Congreso de Neurocirugía en Puerto Varas
Con destacada concurrencia se realizó el LXI Congreso Chileno de Neurocirugía, evento que se organizó el…
Con destacada concurrencia se realizó el LXI Congreso Chileno de Neurocirugía, evento que se organizó el…
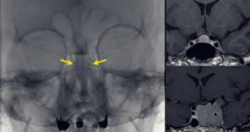
Estos adenomas producen síntomas que provienen de la hormona segregada en exceso, los que pueden ser muy diferentes entre casos y su identificación suele ser compleja.
El día miércoles 3 de octubre de 2018 se realizará, en vísperas de la realización…
A poco más de un mes de cumplir los 81 años, el neurocirujano recuerda una…
En la comunidad internacional, esta operación es un procedimiento estándar para los tumores de hipófisis…
El pasado mes de julio se dio a término al Diplomado de Tratamiento Integrado de la Espasticidad Discapacitante, el cual estuvo dirigido a neurocirujanos y profesionales del área de la Neurorehabilitación.
La comunidad le dice adiós al talentoso y querido Dr. Alfredo Yáñez Lermanda, maestro para muchos y ejemplar de la técnica.
El pasado 08 de Junio se realizaron las Jornadas de Invierno del Capítulo de Enfermeras…
Trabajé con Alfredo desde mi ingreso al entonces Servicio de Neurología y Neurocirugía del Hospital…
El 8 y 9 de junio se realizaron las Jornadas de Invierno coordinadas por el Servicio de Neurocirugía del Hospital Regional de Talca, donde el tema principal fue el TEC y se marcó un éxito rotundo en asistencia y debate.
Este año la actividad anual se desarrollará en el Hotel Cumbres de Puerto Varas y su estructura mantendrá el esquema tradicional de las oportunidades anteriores.
Descargar PDF Sumario Volumen 44 Nº1, 2018/ ISSN 0716 – 4491 EDITORIAL Estimados Colegas Neurocirujanos…
La estimulación cerebral profunda es considerada mundialmente como el tratamiento estándar para algunos pacientes con Parkinson.
La resolución ha sido dictada en Toledo, a 18 de mayo de 2018.
El evento se realizó el viernes 27 de abril en el Hospital Juan Noé Crevani…
El primer neurocirujano en ejecutar la cirugía intrauterina en Chile se refiere a los desafíos de la técnica y la endoscopía como futuro.
El neurocirujano pediátrico de Concepción explica que la subespecialidad se encuentra a un buen nivel en Chile, gracias a la formación que diferentes equipos del país han obtenido tanto a nivel nacional como internacional.
El neurocirujano dedicó 45 años de su vida al servicio público y la mayoría los cursó en el Instituto de Neurocirugía (INCA), donde fundó el servicio infantil y se dedicó a transmitir a las nuevas generaciones la importancia de las tres C: conocimiento, compromiso y compasión.
Ya está la fecha. El 8 y 9 de junio del 2018 en el Hotel Casino de Talca se llevará a cabo la jornada de invierno ejecutada por el Servicio de Neurocirugía del Hospital Regional de Talca.
Practicar la neurocirugía en regiones como Arica y Parinacota y Aysén es un desafío: recursos…
Apoyado por un reciente mejoramiento de infraestructura, tecnológico, instrumental y de recursos humanos, fue agrupado dentro de los centros de alta complejidad del país en el 2017.