La estimulación cerebral profunda lleva décadas en la práctica y se considera la indicación clásica para un grupo de pacientes con Parkinson, pero el gran obstáculo –para hospitales y clínicas por igual– es su alto costo y la poca accesibilidad que significa para la población.
Hace más de 25 años que la estimulación cerebral profunda se practica como la cirugía estándar para contraatacar los síntomas degenerativos de un grupo de pacientes afectados por la enfermedad de Parkinson, quienes bajo la operación experimentan un cambio significativo en su calidad de vida. “Uno no cura el Parkinson, se tratan los síntomas. Pero son muchos años –15 a 20– que uno puede mantener al paciente con buenos estándares de vida”, explica el Dr. André Fassler, neurocirujano y director médico de la Clínica Dávila, uno de los pocos centros de Chile que practican esta operación y donde han tratado a la mayor cantidad de pacientes nacionales: 30 personas desde el 2013.
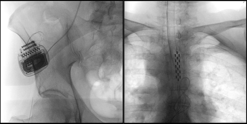
La cirugía –abreviaba DBS en inglés por deep brain stimulation– les entrega mejor movilidad a los sujetos, disminución del temblor y menor rigidez, lo que permite que personas que habían perdido independencia y oportunidades de trabajo, puedan retomar su vida. El pionero nacional en ejecutar este procedimiento fue la Clínica Alemana y su jefe de servicio de neurocirugía, el Dr. Felipe Valdivia, explica el proceso con electrodos de la siguiente manera: “En el modelo de Parkinson nosotros sabemos que cuando tú tienes Parkinson hay ciertos núcleos que están sobreexcitados. Lo que haces básicamente es inhibir esta sobreestimulación con una estimulación eléctrica de alta frecuencia sin generar lesión”.

Los especialistas describen el estimulador cerebral profundo como una especie de marcapaso que produce una alteración al nivel del circuito afectado. “Cuando uno apaga el estimulador se acaba la lesión y el paciente vuelve a estar como estaba antes. Puedes aumentar el voltaje, la cantidad de polos que se está estimulando y se mantiene al paciente mucho más tiempo porque la enfermedad sigue progresando y uno puede ir manipulando la estimulación, aumentándola”, asegura el Dr. Pedro Vázquez, neurocirujano del Hospital Clínico Universidad de Chile José Joaquín Aguirre.
Un factor de máxima importancia para conseguir resultados favorables es la selección del paciente: luego de un exhaustivo proceso de evaluación a cargo de un equipo multidisciplinario, aproximadamente sólo un 10% de los afectados por la enfermedad pueden ser operados, es decir, dentro de los 40 mil pacientes chilenos, sólo cuatro mil son candidatos. Dentro de los requerimientos está responder positivamente a los medicamentos, tener menos de 65 años, padecer la enfermedad por más de cinco años, presentar fluctuaciones motoras, discinesia y no tener deterioro cognitivos ni problemas en la marcha o habla.
El financiamiento como obstáculo
Tanto para hospitales públicos como clínicas privadas el costo de la cirugía no es una barrera menor. Sólo el estimulador cuesta alrededor de 20 millones de pesos y su aplicación no cuenta con políticas públicas que faciliten su accesibilidad. Ni las isapres ni Fonasa la cubren. En la mayoría de los casos los propios pacientes deben costear el dispositivo y, algunas veces, los centros médicos, empresas u otras organizaciones se encargan de respaldar la inversión. “En nuestro país lo que necesitamos más urgentemente es un proyecto de financiamiento estatal para la enfermedad de Parkinson. La estimulación cerebral profunda actualmente es el estándar de tratamiento para un subgrupo de pacientes. Esos pacientes debieran tener una forma de financiamiento estatal”, sostiene el Dr. Carlos Bennett, neurocirujano pediátrico del Hospital Van Buren.
Así también lo destaca el Dr. Valdivia: “En el Parkinson es un tratamiento estándar desde el 2002 en la FDA (Administración de Alimentos y Medicamentos) y 1998 en el EMA (Agencia Europea de Medicamentos). Se instalan aproximadamente más de 15 mil al año en todas partes del mundo”. La masividad internacional del procedimiento es tal que para muchos ya es hora –hace tiempo– de expandirla en nuestro país, donde pacientes potenciales y el equipo profesional para atenderlos existe, pero lamentablemente el dinero estanca el desarrollo.
Para los neurocirujanos que practican esta cirugía, esa difusión es el desafío que enfrenta este procedimiento en Chile, mediante políticas públicas y apoyo estatal que permita que más candidatos consigan operarse. Como lo explica el Dr. Fassler: “El primer paso es que esto se masifique para poder lograr una mayor cobertura y que los pacientes anden bien, porque es realmente dramático como mejoran los pacientes. Del punto de vista de costos también es mejor, porque los pacientes muchas veces bajan la cantidad de medicamentos y logran retomar su vida, pueden volver a trabajar, dejan de ser una carga. Es súper importante no sólo para el paciente, sino que para el país y su familia”.
Una misión compartida: la visión pública y privada
El único neurocirujano que practica esta cirugía tanto en el sistema público como privado en nuestro país es el Dr. David Aguirre, especialista del Hospital Clínico San Borja Arriarán y la Clínica Las Condes, lo que le confiere un punto de vista singular: “Yo creo que la diferencia es el funcionamiento de los establecimientos”. Según el profesional en el sistema público te encuentras con tres problemas que lentifican el proceso, entre los que está el acceso a la terapia por el alto precio, la realidad de un hospital público con alta demanda y las logísticas que deben solucionarse para operar.

“En un hospital público hay lista de espera. Yo no puedo realizar una cirugía de neuromodulación de estimulación cerebral profunda si es que –por ejemplo– no tengo resuelta mi lista de espera de tumores cerebrales”, asegura Aguirre y además explica que “hay horas limitadas de anestesistas, de pabellón, técnicos, insumos, por lo cual todo es más complejo. No es como el sistema privado que uno llama, pide hora para pabellón para una agendar cirugía un día que a mi se me ocurra y voy a tener pabellón sin ningún problema”.
Pero no sólo es complicado para los recintos públicos, sino que para los centros privados también es complejo el proceso y así lo plantea neurocirujano del San Borja: “Ese es el gran problema dentro del sistema público, cosa que no quiere decir que en el sistema privado no son problemas. Ni un paciente, por muy isapre que sea, tiene 30 millones tampoco. Sigue siendo un problema generalizado. Pero sí, obviamente, a un paciente Fonasa le cuesta mucho más conseguir el dinero para un kit. Eso es indiscutible”.
Desde la Clínica Dávila, el neurocirujano y director médico reconoce que en centros privados hay mayor facilidad para realizar esta cirugía de Parkinson, porque la gente que acude a la clínica tiene la posibilidad de comprar el estimulador y pagarlo. Pero eso no significa que para privados sea simple realizar el DBS, por lo que en la Clínica Dávila se trabajó para dar mayor acceso a la cirugía: “En el sistema público es muy difícil conseguirse estos sistemas, de hecho para nosotros fue todo un tema. Nos conseguimos una donación de una empresa para tratar a los primeros cinco pacientes, a quienes operamos gratis acá. La idea era mostrar que esta cosa servía y los pacientes andaban bien”.
Además de desempeñarse en la Clínica Alemana, el Dr. Valdivia también trabaja en el Instituto de Neurocirugía Asenjo (INCA), pero desde el sistema público no ha conseguido realizar un DBS para Parkinson, porque no tiene financiamiento a través de Fonasa. Por eso define el problema nacional como un impedimento de políticas públicas adecuadas. “Yo creo que esta cirugía ya llegó a su punto para probablemente disminuir los costos del aparato y hacerlo cada vez más sencillo. No es una cirugía híper compleja, es una cirugía que requiere experiencia y tecnología”, asegura Valdivia.
Este es un un punto de vista que se repite en los otros especialistas y el Dr. Vázquez lo dice así: “A nivel privado es donde se ha desarrollado un poco más (DBS), pero en el sistema público no está bien codificada la cirugía y el acceso para este sistema es bastante oneroso para los pacientes. Las isapres, fonasa todavía no cubren este tipo de dispositivos”. El especialista asegura que se están haciendo múltiples gestiones a nivel industrial, social, desde la neurocirugía y los mismos pacientes para masificar el procedimiento. “(Financiamiento) ha sido un punto de tope para no poder desarrollar la cirugía aquí, lamentablemente. En otros países como Argentina, Brasil y Perú las isapres y seguros cubren estos elementos”, destaca Vázquez.
La dificultad para practicar esta cirugía debido al costo es un hecho y todos los profesionales que la ejecutan lo saben, sin importar donde se desempeñan. “El principal obstáculo sigue siendo el costo del estimulador mismo. Existen otros costos asociados, pero siendo el Parkinson una patología altamente prevalente estos costos en general debieran ser solventados por los centros de referencia macroregionales de la red”, afirma el Dr. Bennett. Y aunque según la mayoría de los especialistas practicar la estimulación cerebral profunda conlleva mayor complejidad en establecimientos públicos, según el neurocirujano del Van Buren también existen ventajas en el sistema: “Los centros públicos con harto volumen, que reciben a muchos pacientes son en general los mejores perfilados para resolver patologías de estas características. El sistema público tiene esa ventaja”.
Sólo dentro de la provincia de Valparaíso, en el Hospital Van Buren y en el Hospital Regional de Viña del Mar, hay más de 1.200 personas con Parkinson que se están controlando, lo que genera un gran pool de pacientes, con posibilidades de generar –eventualmente– una experiencia relevante. “Nosotros nos centramos en las potencialidades que tenemos. El hecho de ser un hospital regional nos permite concentrar especialistas y tener un neurólogo específicamente formado en trastornos de movimiento, neurólogos especialistas en evaluación cognitiva, tener todos los equipos además necesarios para resolver esto”, sostiene Bennett.
El siguiente paso en la lucha contra el Parkinson
Aunque los recursos y –en el caso de centros públicos– la logística y funcionamiento interno puede demorar el progreso de esta cirugía para el Parkinson, la travesía por avances no descansa. Hospitales como el Van Buren, que a fines del año pasado operaron a su primer paciente, ya poseen un equipo afiatado que permite una selección certera de candidatos y una ejecución oportuna de la cirugía. Y no sólo será provechoso para el Parkinson, ya que el DBS también tiene otras indicaciones, como por ejemplo la Distonía. “El Hospital Van Buren aportó una parte importante de esto, pero otra parte fue costeada por la propia paciente. Ahora con la entrada del funcionamiento de la Ley Ricarte Soto esperamos que por lo menos para un cierto tipo de pacientes –los con Distonía– haya un financiamiento total para la compra del estimulación y esperamos que eso haga que el DBS sea un poco mas frecuente en nuestro medio”, explica el Dr. Bennett.
Estos frutos en relación al financiamiento de pacientes con Distonía son logros provenientes de años de trabajo de la comunidad médica y el Dr. David Aguirre es uno de los responsables. “Gracias a la experiencia que tuvimos con estos pacientes de Distonía, logramos que este año se incluyera el kit de estimulación cerebral en la Ley Ricarte Soto”, recuenta el profesional y explica que un gran número de candidatos tendrá acceso este kit, el que redondea los 27 millones de pesos. “Y en paralelo se logró conseguir dinero en la sexta región para hacer el proyecto piloto de cirugía para la enfermedad de Parkinson, que ese es el que estamos haciendo actualmente en el San Borja. Esos ya son pacientes con dineros públicos. Se compra el estimulador y se coloca en un hospital público. Ese es como el gran trabajo que logramos hacer con mi equipo en estos últimos 5 años”, recuerda el especialista, que también está a la vanguardia en nuevos tratamientos para el Parkinson.
Uno de los procedimientos que se está evaluando para esta enfermedad es la estimulación medular, tratamiento que no reemplaza el DBS ni a la radiocirugía –ambas técnicas dirigidas al Parkinson–, sino que se orienta a un perfil muy particular de pacientes con diferentes síntomas y necesidades enfocados en la marcha y trastornos posturales. “Se le ocurrió a un chileno, al Dr. Rómulo Fuentes, un bioquímico con quien trabajo haciendo investigación básica en neuromodulación. Hay 33 casos en el mundo, más los dos que yo he operado en la Clínica Las Condes. Está en pañales”, afirma Aguirre.
Otro tratamiento que está en la mira del tratamiento para el Parkinson es el ultrasonido. “Yo creo que, hacia donde va esto: probablemente a un sistema nuevo que existe que está a punto de ser aprobado por la FDA. Es generar una lesión a tiempo real en el resonador con ultrasonido, lo que va a poder producir un efecto muy positivo y a mucho menos costo”, dice el Dr. Valdivia y asegura que se está haciendo este procedimiento en algunos centros de Estados Unidos y Europa.
La estimulación cerebral profunda es mundialmente considerada como un estándar terapéutico para el Parkinson y Distonía primaria, siendo incluso indicada para la depresión refractaria y el trastorno obsesivo compulsivo, lo que acaba de ser aprobado por la FDA. Esta masificación y extensión hace aún más importante difundir este procedimiento en Chile, algo que todos los especialistas que la practican comparten.
Para el Dr. Aguirre el futuro en la cirugía del Parkinson se orienta a que la entrada a la terapia no sea un tema de dinero, pero que también haya un foco en el acceso a la prestación, es decir, que más profesionales puedan realizar el procedimiento. Actualmente cinco neurocirujanos ejecutan la estimulación cerebral profunda para el Parkinson y sólo dos lo hacen en el sistema público, donde la demanda es aún más grande: 13 millones 598 mil chilenos son atendidos a través Fonasa. Frente a este escenario –de alta demanda y poca oferta– Aguirre afirma que “con eso tú no puedes dar acceso considerando que al ojo hay 40 mil pacientes de Parkinson en Chile –por ende un 10% son 4.000 pacientes– para dos hospitales públicos. Estaría días operando solamente los pacientes con Parkinson».
Por otra parte, para los profesionales que trabajan con esta cirugía la Ley Ricarte Soto significa una gran posibilidad en el camino por un tratamiento del Parkinson seguro, accesible y moderno. Luego de conseguir que la Distonía sea considerada por esta legislación, el siguiente paso es incluir al Parkinson. «Hay una serie de cambios que se están dando a nivel nacional que han sido varios años de trabajo y conversación con la gente del ministerio para poder llevarlos a cabo», destaca el Dr. André Fassler desde la Clínica Dávila.