Los desafíos del adenoma funcionante

0

La cirugía de hipófisis ha experimentado grandes avances en los últimos años, entre ellos abrir sus posibilidades a la intervención con endoscopio. Pero hay desafíos que los neurocirujanos aún enfrentan y ahí podemos encontrar a los adenomas funcionantes y su identificación.

Se considera que el adenoma pituitario 10-15% de los tumores intracraneales, siendo la mayoría funcionantes. “Los adenoma de hipófisis funcionantes se originan de las estirpes celulares de la adenohipófisis que secretan la hormona prolactina, del crecimiento, corticotrofina y tirotrofina. Las consecuencias son un aumento no regulado de la síntesis a nivel de los diferentes efectores”, explica el Dr. David Rojas, neurocirujano de la Clínica Alemana, del Instituto de Neurocirugía Asenjo y profesor asociado del Departamento de Ciencias Neurológicas de la Universidad de Chile.

Estos adenomas producen síntomas que tienen relación con el exceso de hormona secretada, los que pueden ser muy diferentes en los diferentes casos: por ejemplo, si está involucrada la hormona del crecimiento, la consecuencia es la Acromegalia. “El adenoma funcionante más frecuente es el prolactinoma y el diagnóstico no siempre es sencillo, ya que existen otras causas distintas a las tumorales que pueden elevar la prolactina, como alteraciones en tallo hipofisario, medicamentos, hipotiroidismo, embarazo, etc.”, asegura el Dr. Pablo Villanueva, neurocirujano de Red de Salud UC CHRISTUS.

Una difícil identificación

Su diagnóstico, muchas veces complejo, se considera un desafío para los especialistas que tratan estos adenomas y el Dr. Rojas lo reconoce así: “El principal desafío en el caso de los tumores funcionantes es el diagnóstico precoz. Por ejemplo, en el caso de la Acromegalia, el retardo entre el inicio de los síntomas y el diagnóstico es de aproximadamente seis a ocho años, eso es algo transversal en el mundo y no ha cambiado en las últimas dos décadas”. El especialista cuenta que esto sucede porque los cambios son graduales y mientras los pacientes no consiguen percibirlos con rapidez, la medicina tampoco le presta mucha atención y recursos a una enfermedad tan poco común.

Por lo tanto, para muchos el debate es si “realizar estudios de tamizaje focalizados –al ser una enfermedad poco frecuente– o masivos”, relata el profesional de la Clínica Alemana. Esto también pasa en la enfermedad de Cushing –generada por exceso de cortisol– donde las sospechas del médico o el paciente deben ser muy altas para un diagnóstico precoz, con síntomas no tan evidentes a primera vista.

Su cirugía y tratamiento

«El tratamiento consiste en cirugía –primordialmente transesfenoidal–, teniendo como meta la resección completa y remisión de la enfermedad. En los casos en que no se alcance dicho objetivo, la administración de inhibidores de esteroidogénesis, la suprarrenalectomía, radiocirugía o radioterapia, son parte del tratamiento», asegura el especialista de Red de Salud UC CHRISTUS, quien insiste que los mejores resultados se consiguen «en equipos con experiencia en la técnica y en general la primera cirugía es la que ofrece las mejores posibilidades. En ocasiones, los tumores funcionantes requieren reoperaciones, las que pueden asociarse a mayor morbilidad».

Según el Dr. David Rojas, en algunos casos el tratamiento de adenomas funcionantes puede involucrar sólo medicamentos, especialmente la inmensa mayoría de los prolactinomas. Sin embargo, cuando estamos frente a un paciente con enfermedad de Cushing o Acromegalia, por lo general se procede a la cirugía como primera estrategia. «En la inmensa mayoría de los casos se hace vía transesfenoidal. En los equipos en que participo, se realiza en conjunto con el equipo de otorrinolaringólogos en todos los casos. Se accede a la silla turca a través de las fosas nasales, mediante visualización con endoscopio o microscopio, dependiendo del caso», describe el neurocirujano.

Muchas disciplinas para un caso y el rol endocrinológico

“El enfrentamiento de adenomas funcionantes de hipófisis requiere de un equipo multidisciplinario, ya que el diagnóstico suele ser complejo y debe ser preciso. Además estos tumores se asocian a múltiples comorbilidades”, sostiene el Dr. Villanueva, quien da énfasis a la labor del endocrinólogo, profesional que permite ofrecer una mejor condición hormonal antes de la cirugía, puede tratar posibles complicaciones postoperación y es capaz de realizar un seguimiento correcto, que involucre tratamiento médico importante para la remisión o incluso después de ella.

“El control endocrinológico es clave en todos los adenomas de hipófisis en general. Por una parte, el paciente puede ser mal catalogado como tumor no funcionante, siendo un tumor funcionante con estigmas leves”, asegura el Dr. Rojas e indica que si no se sospecha, no se diagnostica, lo que da lugar a no tratar una enfermedad con morbilidades severas a largo plazo, aclarando que eso sucede con la enfermedad de Cushing y Acromegalia, ya que requieren estudios bioquímicos que no forman parte de la rutina del diagnóstico común.

Pero no sólo se trabaja con un endocrinológo, sino que diversas especialidades forman parte del proceso y así las enumera el Dr. Villanueva: «Otras especialidades involucradas incluyen anatomía patológica, radioterapia/radiocirugía y neurooftalmología». En este grupo se consideran neurooftalmólogos, neurorradiólogos, anestesistas, neuropatólogos, neurooncólogos y radioterapeutas, siendo un colega esencial para la operación el otorrinolaringólogo.

Este último profesional participa en la cirugía misma y evalúa las condiciones de la cavidad nasal y senos paranasales para el acceso quirúrgico. Así lo explica el Dr. Rojas: «La ventaja de trabajar con el  equipo de otorrinolaringólogo, es que cada cual aporta su en su ámbito de destrezas. Esto es importante, porque en el postoperatorio muchos pacientes pueden presentar complicaciones en la esfera rinosinusal, y los otorrinolaringólogo manejan mucho mejor esas complicaciones».

Números y accesibilidad

La inclusión al GES ha hecho que el manejo de los adenomas funcionantes mejore considerablemente, especialmente en el caso de los pacientes beneficiarios de Fonasa. Ahora existen más facilidades, especialmente con los pacientes acromegálicos a quienes desde el 2010 se les incorporó el uso de análogos de somatostatina, un tratamiento generalmente de por vida que, anteriormente al GES, era prácticamente imposible de financiar por su elevado costo.

«Tengo el privilegio de trabajar en un centro de referencia nacional de esta patología. El número de pacientes tratados ha ido creciendo paulatinamente todos los años. Solo el año 2017, ingresaron al Instituto de Neurocirugía 137 pacientes nuevos para cirugía por el plan GES con el diagnóstico de adenomas hipofisiarios, sin contar los pacientes antiguos que se siguen controlando y algunos de ellos operando», recuenta el Dr. Rojas.

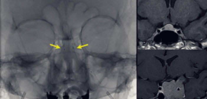
El especialista de la Clínica Alemana vislumbra diversos desafíos para esta patología. Entre ellos, aquellos adenomas corticotropos muy pequeños que no se logran identificar con estudios de resonancia convencionales y relata que en el Instituto de Neurocirugía se está desarrollando un protocolo de resonancia magnética modificado que podría aumentar la pesquisa de la lesión antes de la operación. Otro desafío son los tumores funcionantes invasores al seno cavernoso, que no son susceptibles de llevar a remisión con la cirugía.

Compartir.